October 9, 2025
Gum Health and Your Overall Well-Being
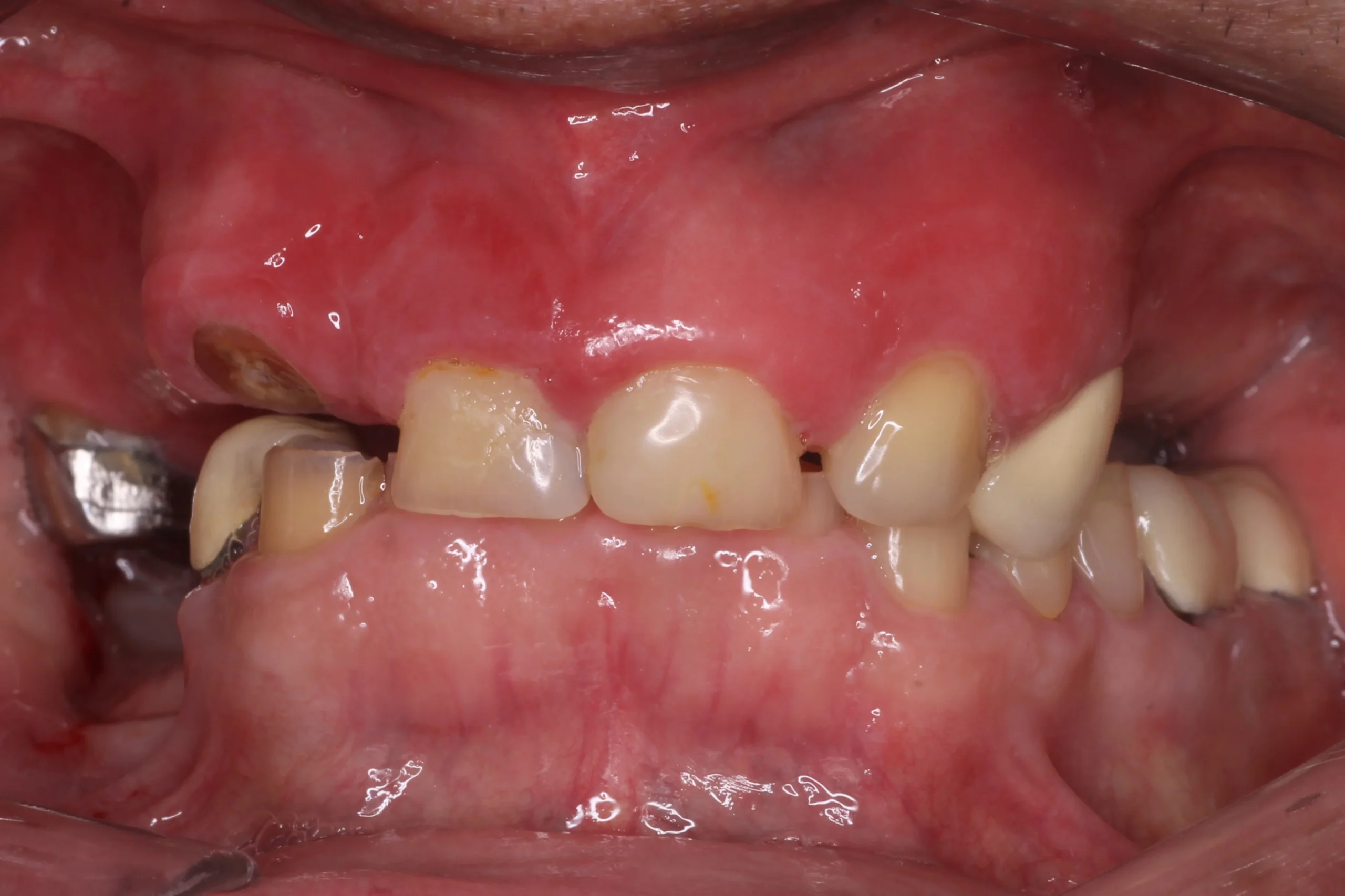
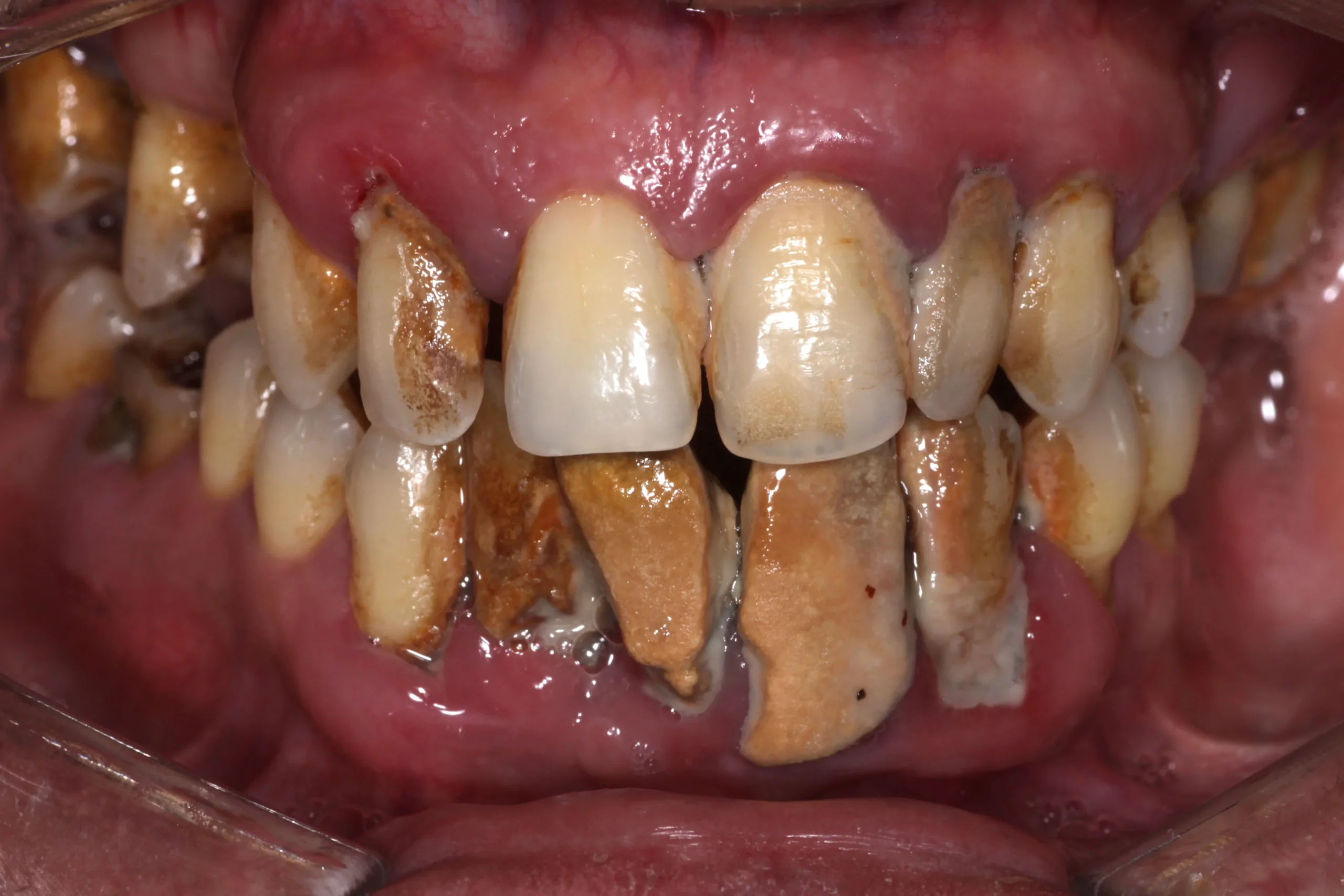
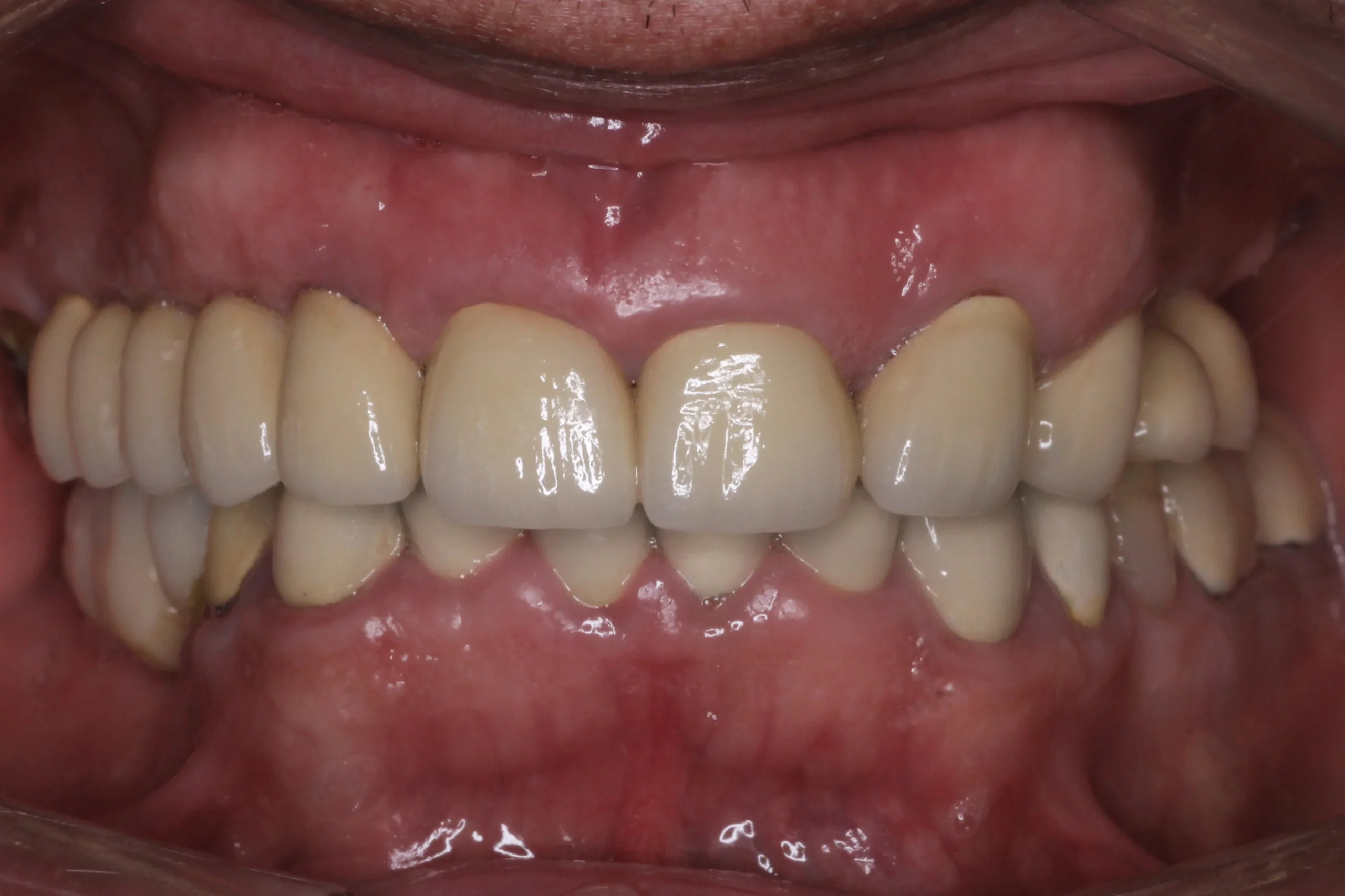
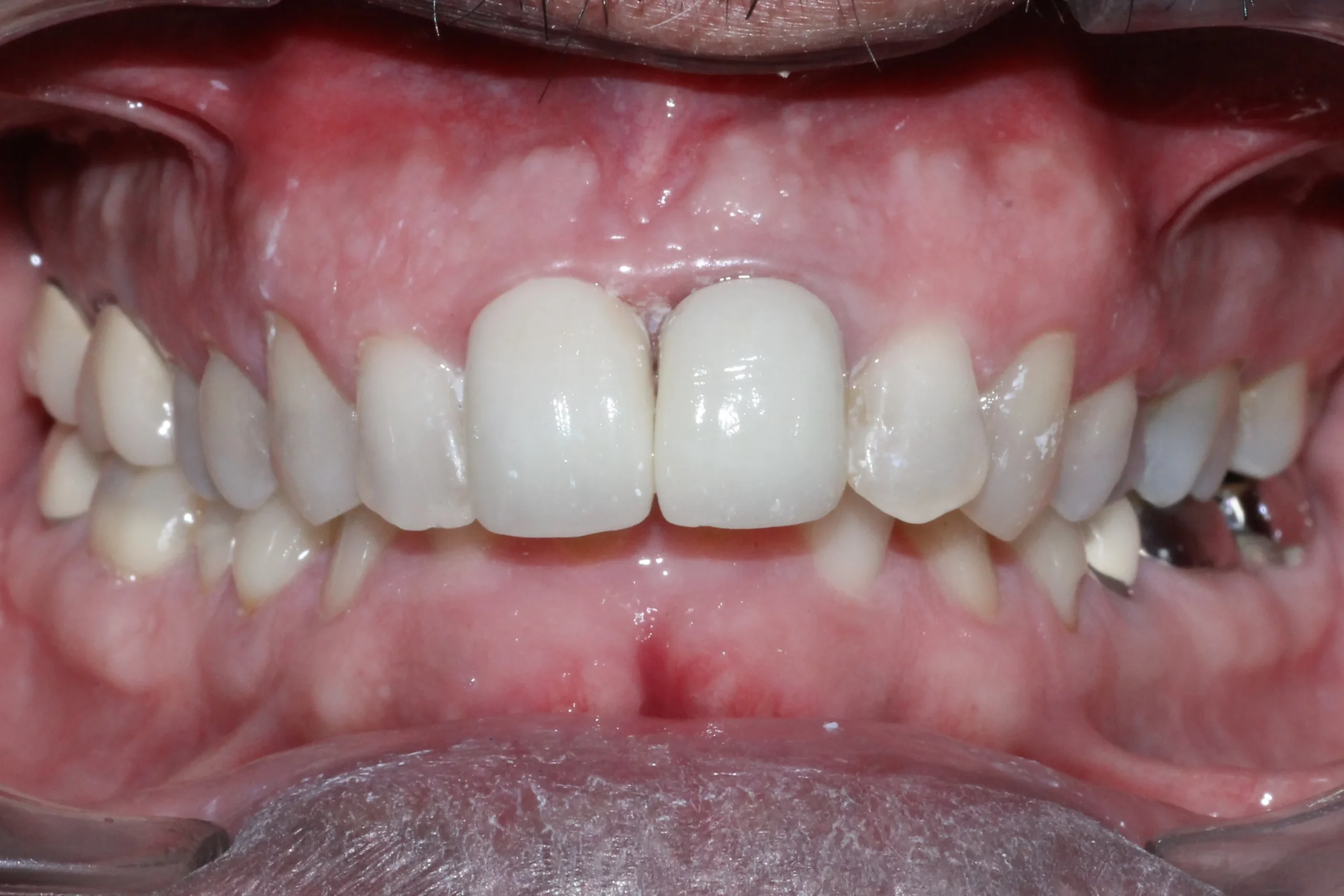
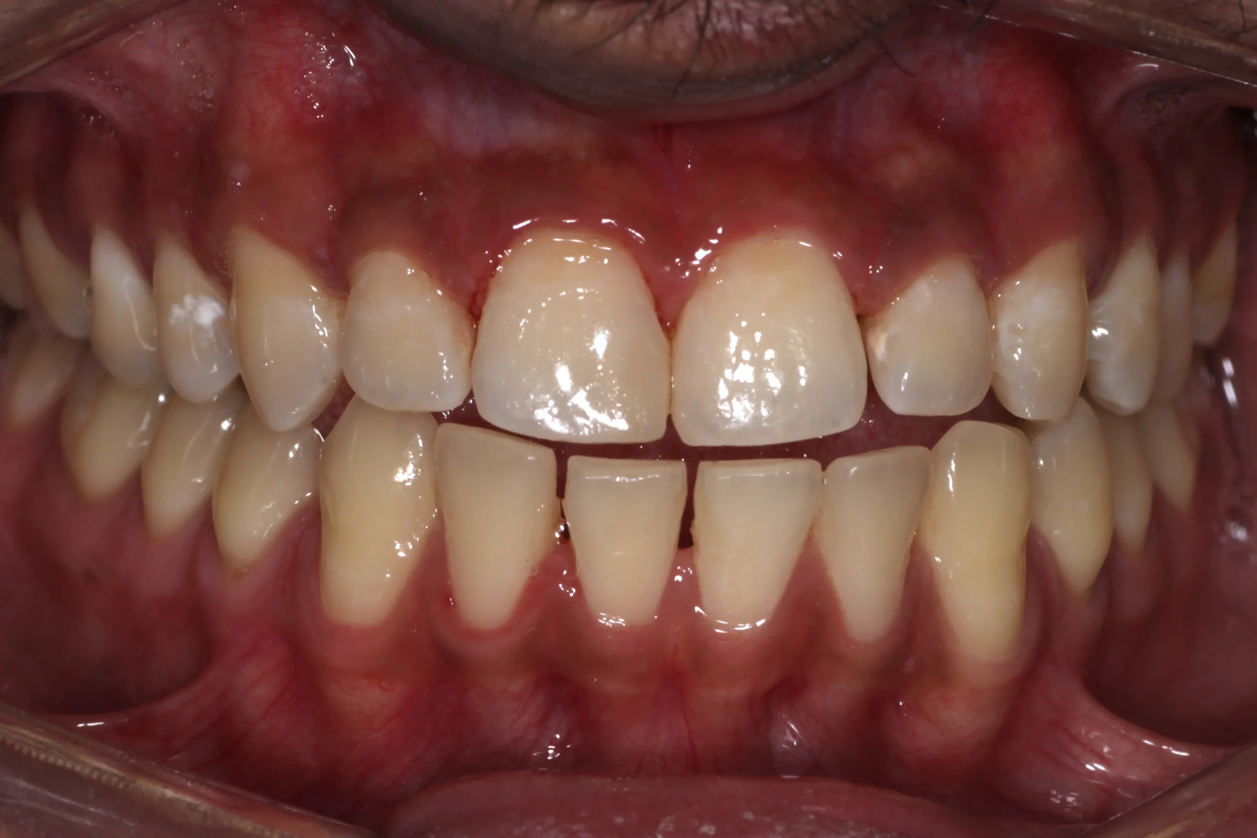
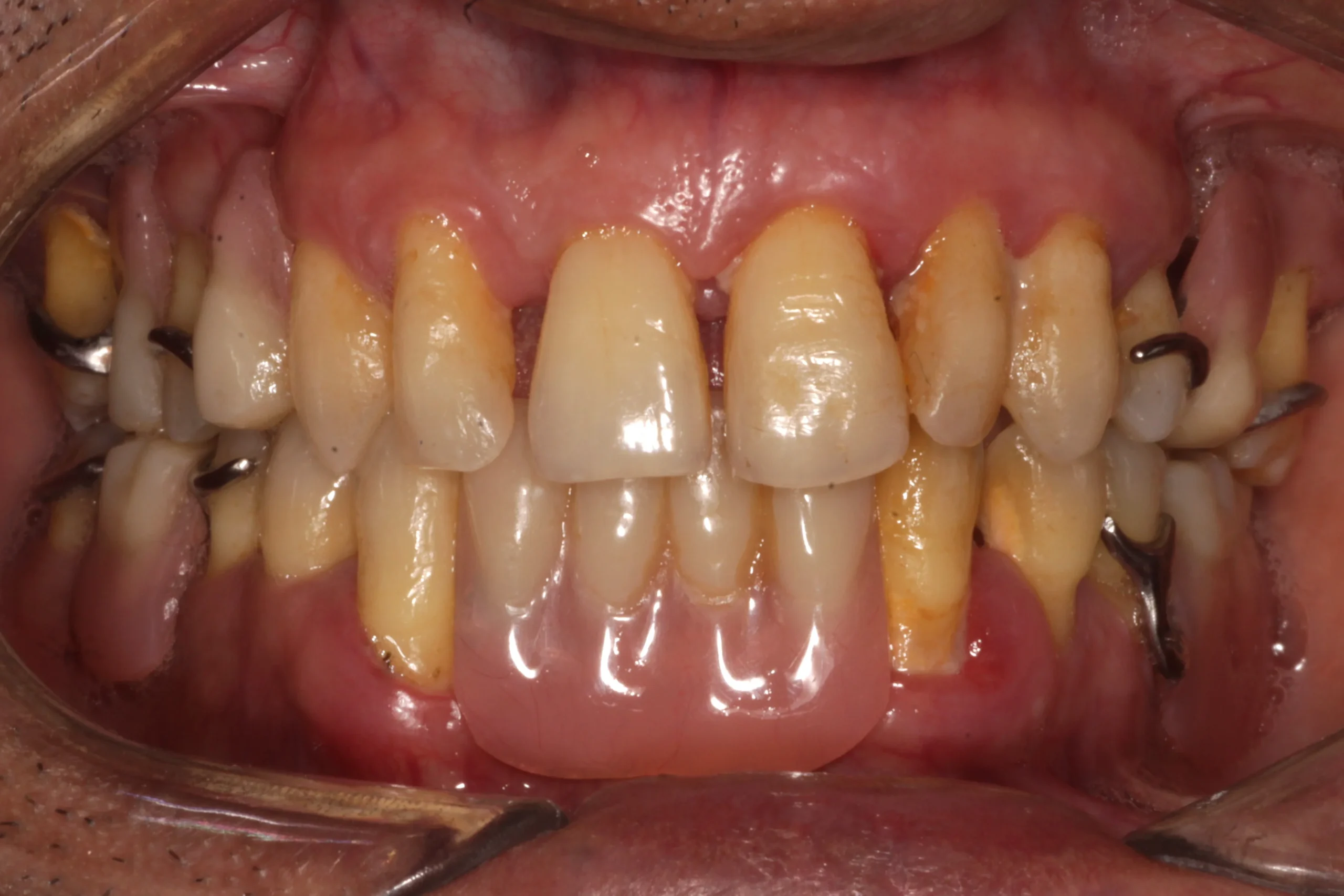
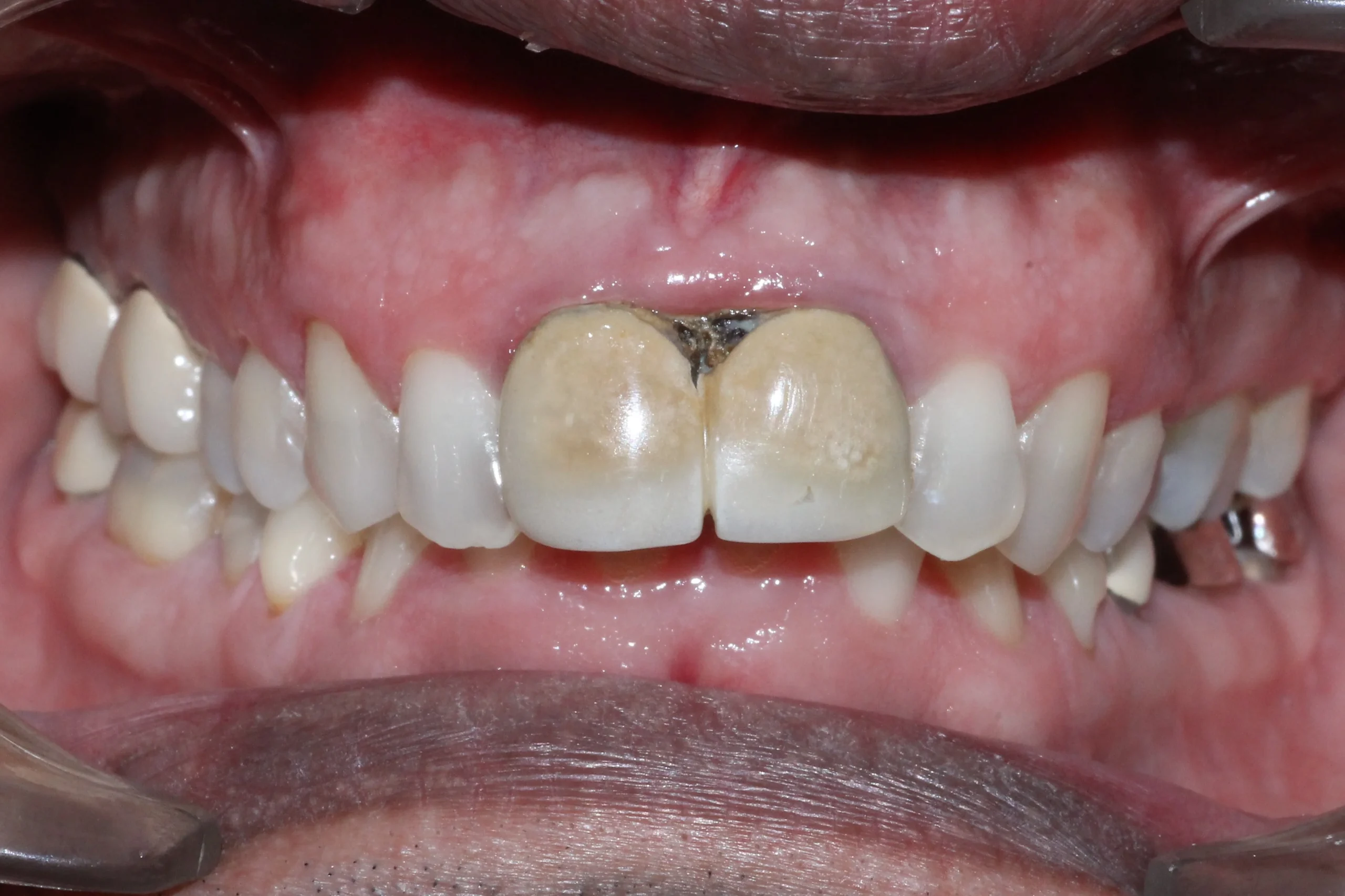
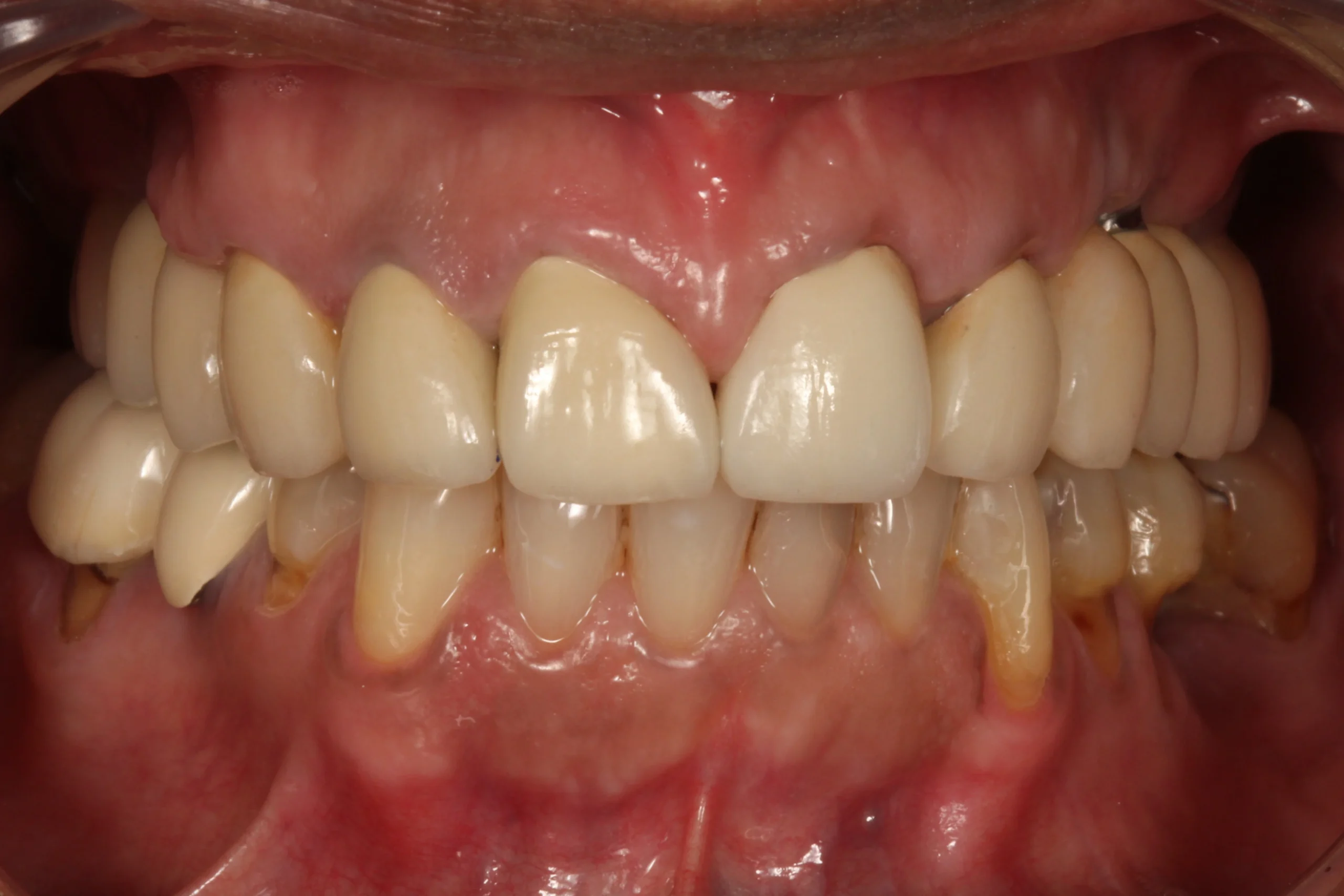
Gum Health and Your Overall Well-Being Healthy gums are about more than just a bright smile—they play a vital role...
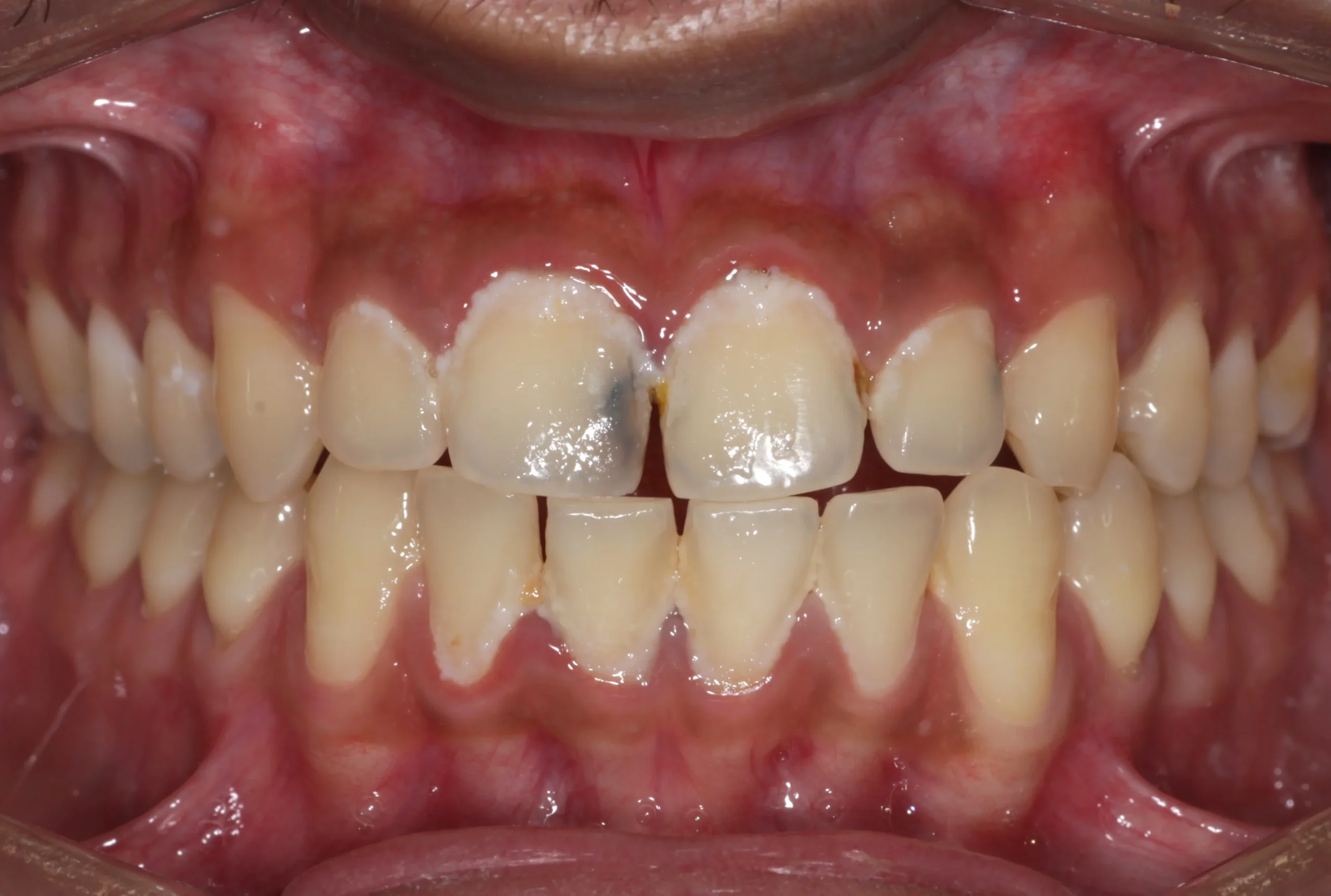
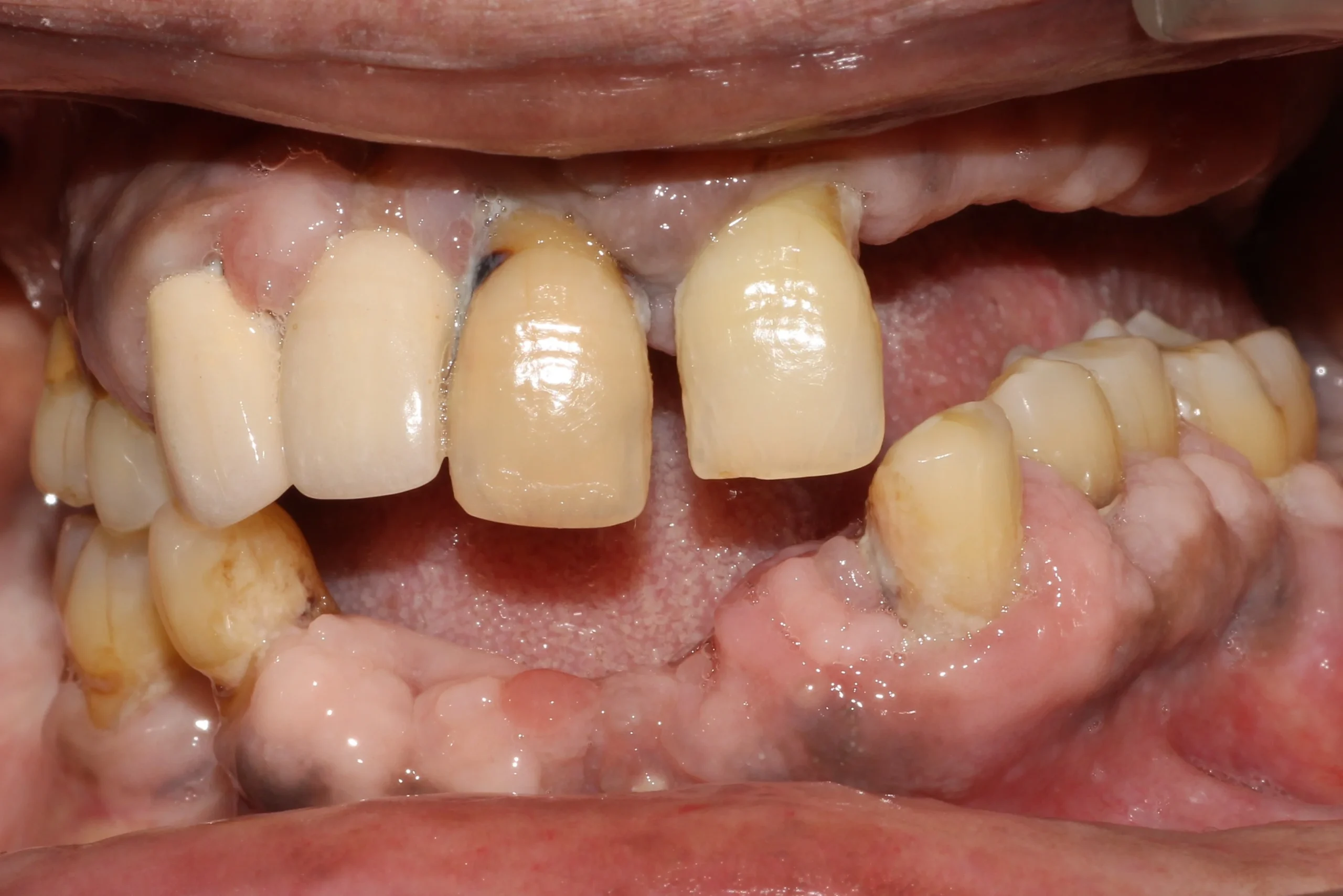
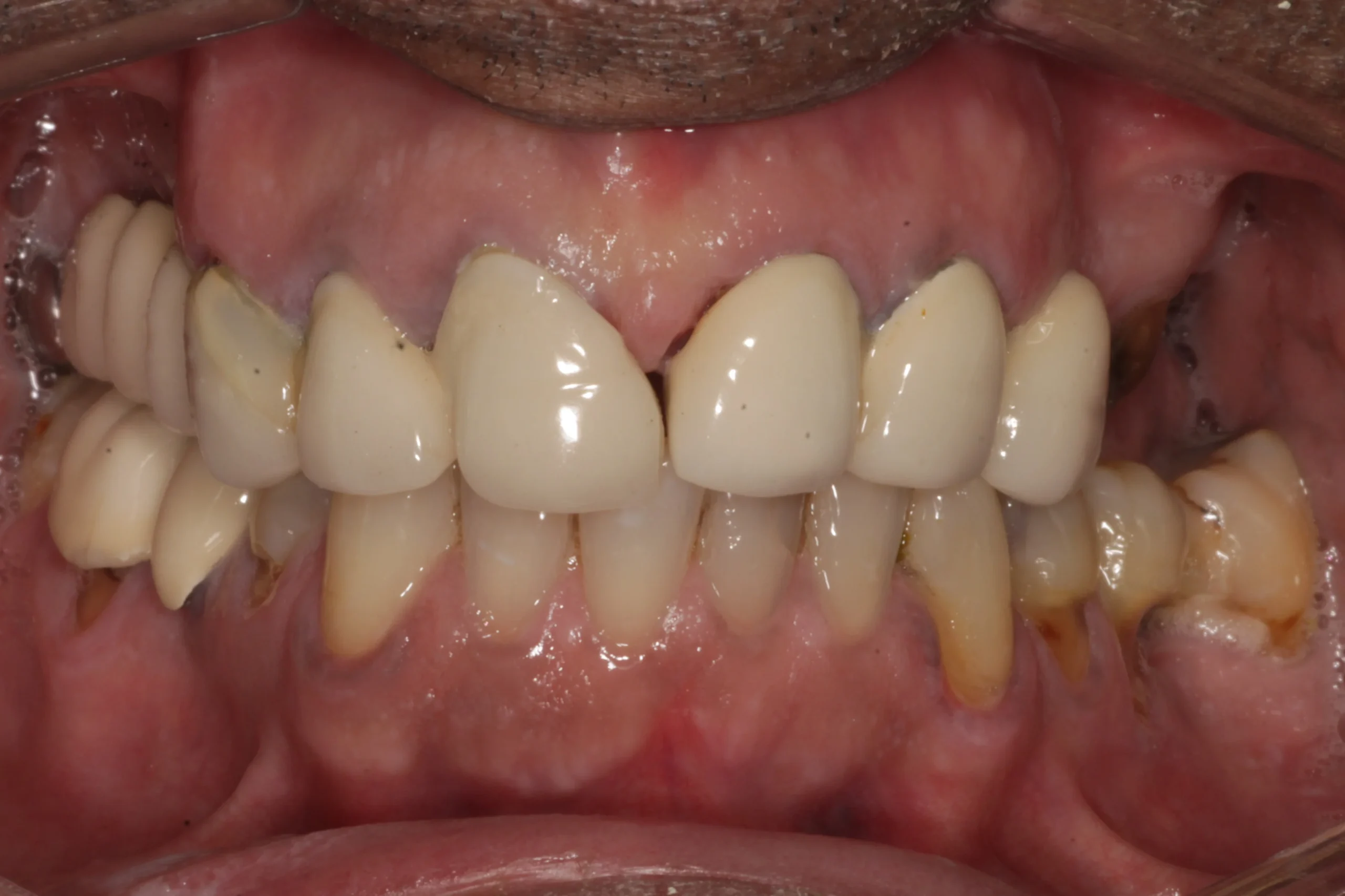
Learn More →We, at Karnik Dental Clinic, provide comprehensive dental care for you and your family. Complete clinical evaluation helps us make a comprehensive clinical diagnosis that not only treats your problem of immediate concern, but also other problems in oral cavity.
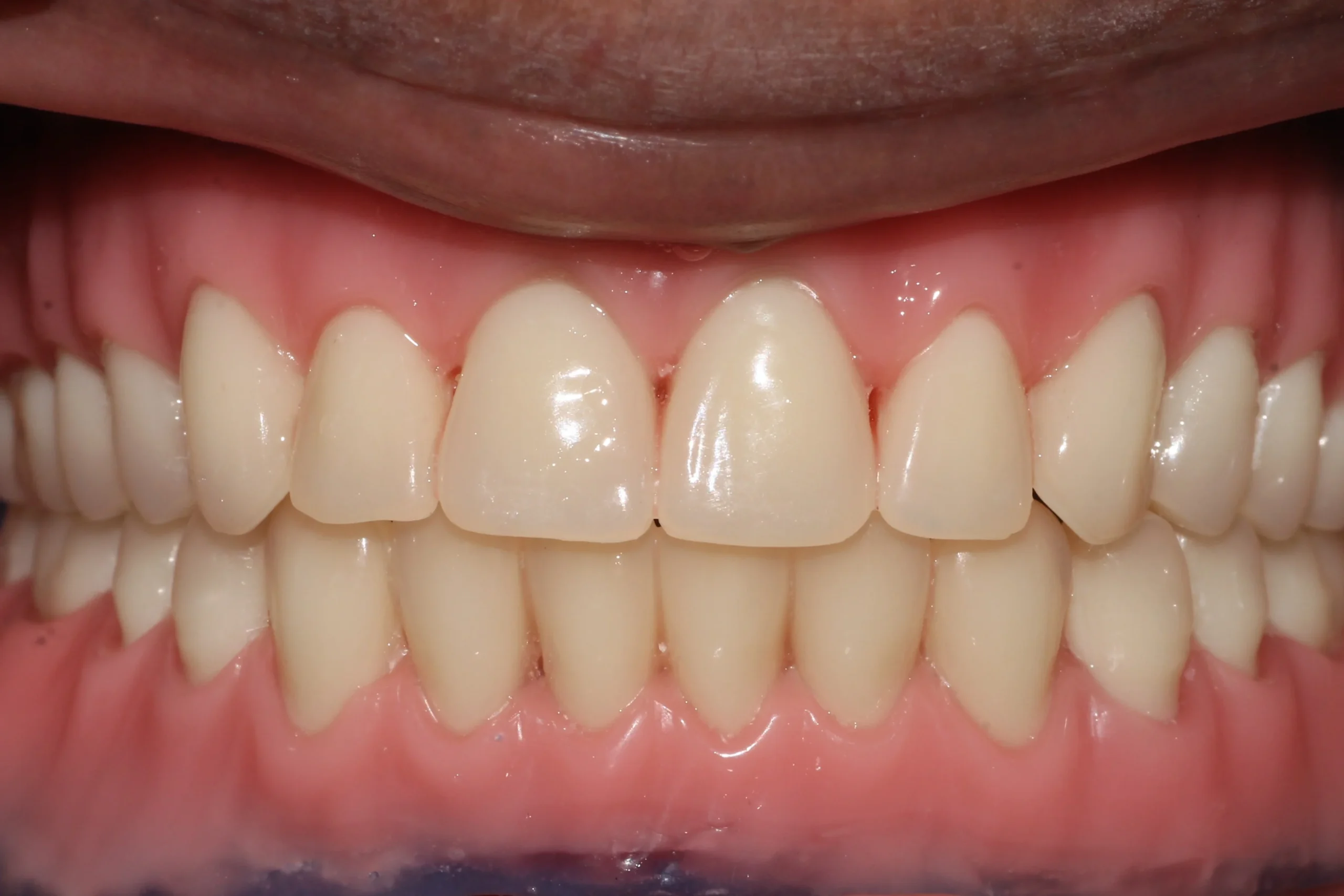
Read MoreFrom subtle improvements to full smile makeovers, see the difference dentistry can make.
“I am thrilled to express my sincere gratitude to Dr. Rohit Karnik of Karnik Dental Clinic for the exceptional care he provided for my dental needs, specifically Dental Implants. Dr. Karnik’s unwavering attention to detail, coupled with his professional approach to every procedure, truly sets him apart. His expert advice was not only invaluable but also helped me make informed decisions, especially after travelling from Australia, about my dental health. Under Dr. Karnik’s care, I experienced a level of professionalism and dedication that is truly remarkable. My heartfelt thanks to Dr. Karnik for his phenomenal work and for making every dental visit a positive and reassuring experience.“
“I have visited Dr. Karnik for my dental treatment. I found his services are very satisfactory. All aspects were clearly explained. His work was very very good at reasonable cost.“
“Excellent experience at Karnik Dental Clinic! The staff is friendly, and the doctor is very professional and caring. Highly recommend!”
“Very good Tech Savy Doctor. Was very much satisfied with my dentle treatment.“
“Very professional doctor and other staff. Explained the problem and treatment. Smooth hands and painless experience during the root canal and E-max crown. Clinic is clean and Hygiene is maintened.“
Dear Dr.
“ I wanted to express my sincere gratitude for the excellent dental treatment I have received from you. Your care and expertise specially in laser treatment have made a real difference. I appreciate your dedication to my oral health. I really appreciate how you explained the procedure so clearly and made me feel so comfortable during the procedure. Dental implants and full mouth rehabilitation done by you provided a solid foundation to my teeth allowing me to enjoy my meals and communicate clearly without discomfort with natural look. This improves my quality of life. I appreciate one more thing that every appointment with you is ontime and the hygiene, cleanliness and staff etiquettes are at the highest levels. Finally thank you very much for restoring my ability to chew, speak, & smile with ease. I feel fortunate to have you as my dentist.“
Stories, guides, and expert advice to help you take charge of your oral health.
Contact our friendly team to schedule your visit or get more information.